中文
English
因原材料价格浮动,自2026年4月20日起,麓邦商城将对部分产品价格进行略微调整。感谢您一直以来对麓邦商城的关注,我们也将一如既往以高质量的产品与优质服务回报广大客户的支持与厚爱!
问卷调查
中文
注册 | 登录
产品中心
技术中心
服务中心
关于我们
积分商城
光学显微镜教学系统
产品中心
科研系统与套件
成像
光学显微镜教学系统
参数规格
组件清单
技术说明
软件
反馈
产品说明
模块化开放式光学导轨
适合光学显微系统的全部本科课程
涵盖光学特性、成像技术和显微镜设计
内容丰富详细的系统手册、实验手册和课程手册
LBTEK 提供的光学显微教学系统套件包含组件、软件以及教学材料,涵盖光学特性、成像技术和显微镜设计,适合光学显微系统的全部本科课程。在课程中,学生们将学习如何设置光学轨道,搭建科勒照明系统,搭建和操作模块化显微镜系统,从而学习并熟悉阿贝理论、调制传递函数、分辨率、成像等概念,课程中还介绍了几种类型的成像技术:相衬成像、暗场成像以及荧光成像。该光学显微教学系统可应用于科研、教育领域(教学、演示、学术交流)、生物领域(观察组织细胞内部结构)、医学领域(检查诊断病理标本)以及材料科学领域(研究微小的晶体和颗粒结构)。
示意图
产品属性
光谱仪
350-1000 nm,FWHM<1 nm@Hg 576 nm@25 μm,信噪比800:1,动态范围4000:1
物镜
10X,ADL,NA 0.25,工作距离6.2 mm
CMOS相机
GigE接口/3072×2048/2.4 μm×2.4 μm
样品
5.0 μm荧光微球;Φ25.4 mm,厚度=4.0 mm光学玻璃
面包板及把手
面包板200×900 mm双把手
光学显微镜教学系统
光学成像
像差与照明
科勒照明
阿贝成像理论
对比方法
荧光显微技术
光谱和滤光片
LBTEK 光学显微镜教学系统为零部件发货,包含十个光学实验涵盖物料、显微样品、制备工具、系统安装工具、配套软件和详细的课程手册、实验手册、系统手册。用户可以根据LBTEK 提供的手册自行安装并实施教学。当然,也可以自由选择工程师上门安装服务。
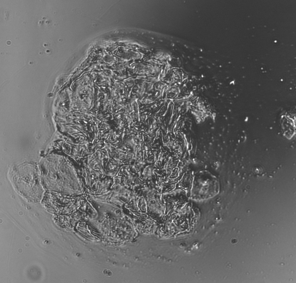
相衬成像(口腔上皮细胞)图像
产品型号
描述
单价
对比
发货日期
ED-OMS-V1-SC
光学显微镜教学系统安装服务费用(选配)
联系客服
5周
加入购物车
ED-OMS-V1
用于光学和显微镜课程实验教学
¥83,070.00
2周
加入购物车